Λίστα αντικειμένων
Πλέον μπήκαμε κι επίσημα στους θερμούς μήνες του έτους.Η περίοδος αυτή συμπίπτει με την περίοδο που εμφανίζονται στην φύση,οι κρότωνες,οι οποίοι έχοντας γεμάτο το «οπλοστάσιο» τους με διάφορους παθογόνους μικροοργανισμούς είναι έτοιμοι να προσβάλλουν τους τετράποδους φίλους μας. Ένα από τα νοσήματα που μπορούν να προκαλέσουν είναι και η ερλιχίωση,ένα σοβαρό και αρκετά διαδεδομένο νόσημα στην χώρα μας.
Αιτιολογία
Η νόσος οφείλεται, στο ρικετσιακό μικροοργανισμό Ehrlichia canis που παρασιτεί τα λευκοκύτταρα του αίματος,ενώ η μετάδοση της γίνεται μέσω νυγμάτων(τσιμπημάτων) των κροτώνων των ειδών Rhipicephalus Sanguineus και Dermacentor Variabilis.
Ιστορικά στοιχεία
Η νόσος πρωτοπεριγράφηκε το 1935 στο Αλγέρι, και ονομάστηκε Ρικετσίωση του σκύλου. Από τότε έμεινε άγνωστη, μέχρι την εποχή του πολέμου του Βιετνάμ, οπότε περιγράφηκε σαν βαρειά νόσος των στρατιωτικών Αμερικάνικων σκύλων στη Νοτιοανατολική Ασία, ονομάστηκε Τροπική Παγκυτοπενία και μελετήθηκε προσεκτικότερα. Αργότερα διαπιστώθηκε ότι η νόσος έχει παγκόσμια εξάπλωση.
Συμπτώματα
Η μόλυνση επέρχεται ύστερα από νύγματα των υπεύθυνων κροτώνων.Ο παθογόνος μικροοργανισμός προσβάλλει τα λευκοκύτταρα του αίματος και πολλαπλασιάζεται,καταστρέφει τα αιμοπετάλια(τα οποία είναι απαραίτητα για τον μηχανισμό πήξης του αίματος και για την παύση των αιμορραγιών) και προκαλεί παγκυτταροπενία(μείωση του αριθμού όλων των κυττάρων του αίματος). Η νόσος εκδηλώνεται σε 3 φάσεις:
1η φάση(οξεία): στη φάση αυτή(10-20 μέρες μετά την μόλυνση),εντοπίζουμε κρότωνες στο δέρμα των πασχόντων ζώων. Η φάση αυτή χαρακτηρίζεται συνήθως από κυματοειδή πυρετό,διαφόρου βαθμού ανορεξία,κατάπτωση και απώλεια βάρους. Σπανιότερα παρατηρούμε μικρή διόγκωση των λεμφαδένων, ελαφρά θόλωση του κερατοειδούς,επιπεφυκίτιδα, διάμεση πνευμονία, οίδημα των άκρων και του όσχεου και εμετός,ενώ σε μερικές περιπτώσεις είναι πιθανόν να παρατηρηθούν και μικρές αιμορραγίες.
2η φάση(υποκλινική): η φάση αυτή επέρχεται ύστερα από 2-4 εβδομάδες και διαρκεί συνήθως 1-4 μήνες. Στο στάδιο αυτό,τα κλινικά συμπτώματα υποχωρούν και το ζώο φαίνεται σαν να έχει θεραπευτεί.
3η φάση(χρόνια): είναι η τελική φάση της νόσου και εκδηλώνεται συνήθως το φθινόπωρο-χειμώνα οπότε και δεν υπάρχουν κρότωνες. Η φάση αυτή χαρακτηρίζεται από πυρετό,ληθαργικότητα,κατάπτωση,απώλεια σωματικού βάρους,ωχρούς βλεννογόνους,πετέχειες και εκχυμώσεις σε δέρμα και βλεννογόνους,ρινορραγία,απλασία του μυελού των οστών.( Σε ορισμένα είδη , όπως ο γερμανικός ποιμενικός,η χρόνια φάση διακρίνεται σε ήπια,η οποία δεν διαφέρει από τα υπόλοιπα και σε σοβαρή χρόνια μορφή , η οποία είναι βαρύτατη και θανατηφόρος) Οι ασθενείς σκύλοι,στους οποίους δεν έχει εφαρμοστεί θεραπεία, καταλήγουν λίγες ώρες με λίγες μέρες αργότερα μετά την έναρξη των αιμορραγιών.
Διάγνωση
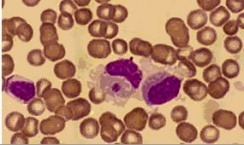
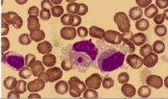
Η διάγνωση βασίζεται στην κλινική εικόνα του ασθενούς,σε εξετάσεις αίματος,σε ορολογικές εξετάσεις μέσω διαφόρων διαγνωστικών τεστ που ανιχνεύουν αντισώματα κατά των μικροοργανισμών(θετικό αποτέλεσμα δεν επιβεβαιώνει την νόσο,καθώς αν το ζώο έχει εκτεθεί προηγούμενη φορά σε Ehrlichia canis έχει αντισώματα για μεγάλο χρονικό διάστημα που μπορεί να φτάσει και τα 5 χρόνια ,χωρίς ωστόσο να νοσεί) ενώ οριστική διάγνωση τίθεται ύστερα από κυτταρολογική εξέταση επιχρισμάτων(από τη στιβάδα των λευκών αιμοσφαιρίων ύστερα από φυγοκέντρηση του αίματος,από λεμφογάγγλιο,από το σπλήνα ή από το μυελό των οστών). Τέλος,η διάγνωση μπορεί να επιτευχθεί και με μοριακές τεχνικές(PCR), οι οποίες και προσφέρουν υψηλή ευαισθησία και ειδικότητα(είναι δηλαδή αξιόπιστες)
Θεραπεία
Η θεραπεία επιτυγχάνεται με τη χορήγηση δοξυκυκλίνης(φάρμακο εκλογής),ιμιδοκάρβης ή οξυτετρακυκλίνης. Υποστηρικτικά μπορούμε να χορηγήσουμε γλυκοκορτικοστεροειδή αναβολικά(νανδρολόνη),κορτικοστεροειδή και αντιβιοτικά, ενώ σε βαριές μορφές της νόσου κρίνεται απαραίτητη η μετάγγιση αίματος.(Μετά την θεραπεία του το ζώο μπορεί να ξανανοσήσει εφόσον εκτεθεί και πάλι σε Ehrlichia canis)
Πρόληψη
Η πρόληψη της νόσου βασίζεται στην καταπολέμηση των κροτώνων και επιτυγχάνεται με διάφορα μέσα που κυκλοφορούν στο εμπόριο(αντιπαρασιτικά περιλαίμια,σπρέϋ,αμπούλες,σαμπουάν,λοσιόν) τα οποία πρέπει να χρησιμοποιούνται πριν την εμφάνιση κροτώνων πάνω στο δέρμα των τετράποδων φίλων μας.Πρέπει βέβαια να σημειωθεί ότι κανένα μέτρο δεν προσφέρει 100% ασφάλεια,αλλά ελαττώνει σημαντικά την πιθανότητα εμφάνισης της νόσου.
Δημόσια Υγεία
Η ερλιχίωση δεν προσβάλλει τον άνθρωπο. Συνεπώς δεν πρέπει να φοβόμαστε,σε περίπτωση που ο τετράποδος φίλος μας νοσεί, την επαφή μαζί του κατά την χορήγηση της θεραπείας.
ΓΟΜΑΤΟΣ Αργύριος
Στρατιωτικός Κτηνίατρος
gomatos_argi@;hotmail.com
